こんにちは、目白マリア歯科 院長の宮澤です。
先日の症例(【症例】セラミック材料を使った修復処置・セラミック接着時の環境への配慮)にてお話しましたとおり、虫歯の治療を行った際に、虫歯の大きさによって詰め物を製作しなければいけません。このコラムを読んでいただいている皆様の中には、なぜ虫歯の治療した後、型取りをしてインレーや被せものを装着しなくてはいけないのか不思議に思う方も多いと思います。
これから何回かのコラムに分けて補綴物(詰め物)の考え方、それぞれの利点欠点を少しずつお話させていただきます。
現在の歯科材料の中で、虫歯処置後に歯冠形態を復元させる(虫歯の箇所を治す)為の材料は大きく分けて、①レジン(プラスチック)、②金属、③セラミック(陶器)の3つが存在します。それぞれの材料には利点欠点があり、1つ1つの症例に応じて選択する必要があります。
まず、一般的にどの程度歯を削ると歯の強度は下がってしまうのかをお伝えしたいと思います。
Reeh&Messer(JOE 1989)の文献を参考にすると、天然歯の歯の強度を100%とした場合、
① 咬合面 (歯の噛むところ一面だけの虫歯)を削った場合 80%
② MO窩洞 (虫歯により歯の崩壊が2面に及ぶもの)の場合 54%
③ MOD窩洞 (虫歯により歯の崩壊が3面に及ぶもの)の場合 37%
まで歯の強度は低下してしまいます。
の考え方、材料ごとの利点欠点_①レジン(院長宮澤)_どの程度歯を削ると歯の強度は下がってしまうのか前提-1-600x271-1.jpg)
の考え方、材料ごとの利点欠点_①レジン(院長宮澤)_コラムエビデンス.png)
その為、虫歯の大きさによっては被せものやインレーによって、歯の強度を上げたり、機能的に回復(噛むことができるようにすること)させる必要があるのです。
今回は歯の修復のための主な3つの材料レジン、金属、セラミックの中から①レジンでの修復に関して、ご説明します。
① レジン(プラスチック)
適応症例:小さい虫歯
【長所】
現在では光によって硬化する光硬化型レジンが主流であり、虫歯の除去が終わった窩洞に流し込み硬化させるだけで処置が終わってしまいます。ほとんど、虫歯の部分の切削のみなので歯質保存を考えると非常に優れた材料です。また、色のバリエーションも豊富であり歯冠色に似ていることから一時的な審美性が良いです。
【短所】
プラスチックなので、お口の中などの水分が豊富な場所では経年的に水分を吸収することで細菌が繁殖したり、着色したりします。また、強度が弱いため、歯の厚みがないところに使用すると欠けたり、虫歯の原因になる可能性があります。
の考え方、材料ごとの利点欠点_①レジン(院長宮澤)_歯科治療補綴物レジンの短所強度が弱く歯がかけやすい.jpg)
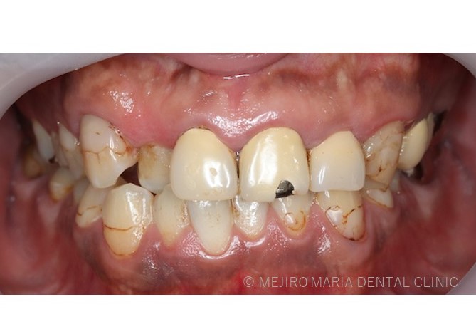
レジンと歯の境目に褐線(かっせん)と言われる茶色い着色が多く確認できる、また前歯部のレジン冠も色が変色している。
の考え方、材料ごとの利点欠点_①レジン(院長宮澤)_歯科治療補綴物レジンがかける、虫歯ができる-e1572846802172.jpg)
赤枠で囲んだ箇所はレジン充填されているところ
※右写真:虫歯を除去したところ
辺縁隆線(黒丸の部分)の歯質が薄くなっていると歯質が欠けたり、劣化により2次カリエス(治療後再度虫歯になる)の原因となります。また、歯と歯の間の形が不適切だと食べ物が詰まりやすくなり、歯周病や虫歯の原因になります。その為、歯冠形態が適切に再現されない場合は型取りを行い、しっかりとしたインレー(詰め物)などで修復する必要があります。
レジンは即日に治療が完了でき、歯を削る箇所もほとんどが虫歯の部分だけですので非常に優れた素材です。しかしながら、見た目という観点のみで銀のインレーを外しレジンに置き換えるような治療を行うと、逆に将来的な歯の寿命を縮める事になりかねません。強度や歯冠形態の回復を考えた上で素材を選択することが大事になります。
次回は歯の修復のための材料のうち②金属についてお伝えしてまいります。
専門性の高い歯科医療が、すぐそばに。
目白マリア歯科(Mejiro Maria Dental Clinic)
〒161-0033 東京都新宿区下落合3-16-13 グランドール目白1F
tel:03-6908-2923
キッズルーム完備 バリアフリー マイクロスコープ・歯科用CTなど先端医療機器完備 精密根管治療 怖くない、痛くない歯科治療 世界基準の滅菌レベル