Case

治療症例

ceramic

セラミックの症例

  • ビフォーアフター|【症例】前歯の見た目を改善し自然なスマイルラインを獲得|目白マリア歯科
    2025.11.21

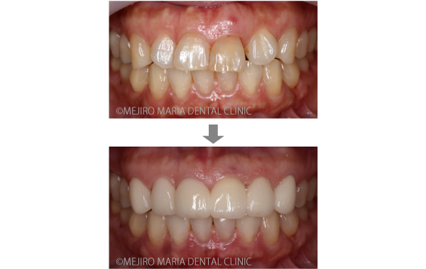
    【症例】前歯の見た目を改善し自然なスマイルラインを獲得

  • 目白マリア歯科_【症例】前歯のセラミック修復による審美的な回復(前歯部1歯補綴)_口腔内及X線の比較写真
    2021.04.24

    【症例】前歯のセラミック修復による審美的回復(前歯部1歯補綴)

  • 目白マリア歯科|【症例】自然な美しさを考慮した審美歯科治療 beforeafter
    2020.12.16

    【症例】自然な美しさを実現するオールセラミックによる審美歯科治療

  • 目白マリア歯科【症例】前歯の歯牙保存が不可能なケース①_メイン_治療前後の比較
    2020.10.08

    【症例】前歯の歯牙保存が不可能なケース①

  • 目白マリア歯科【症例】根管治療後のウォーキングブリーチによる審美的回復_メイン_治療前後の比較
    2020.08.30

    【症例】根管治療後のウォーキングブリーチによる審美的回復

  • 目白マリア歯科【症例】セラミック材料を使った修復処置・セラミック接着時の環境への配慮_メイン_治療前の口腔内写真
    2019.10.30

    【症例】セラミック材料を使った修復処置・セラミック接着時の環境への配慮