Surgery of Periosteal Formation

歯周形成外科

About

歯周形成外科とは

歯周形成外科手術(periodontal plastic surgery)とは、簡単にいうと「歯の周りの環境整備のために、骨や歯ぐきを再生する手術」です。

例えば、歯茎が下がってしまって見た目が悪くなったり痛みが出てしまったり…
歯茎の形が悪く食べ物が挟まったり…
被せ物やインプラントの周囲の歯茎が弱く掃除ができなかったり…
抜歯後に骨や歯ぐきがやせてしまい、インプラント治療を断られたり…  

虫歯や根の病気ではないけれども歯の周りの環境が悪いために見た目や機能が良い状態でなくなった場合、骨や歯茎を再生する手術で改善できる場合があります。 それが歯周形成外科手術と呼ばれる治療です。

Staff

担当医紹介

小沼 寛明 (日本歯周病学会 歯周病専門医)
歯周病、歯肉形成、骨・歯ぐき再生医療担当医
小沼 寛明の写真
メッセージ

健康で美しい歯ぐきは、歯の寿命を守り、口元の印象を大きく変えます。機能性と見た目の調和を重視し、自然で美しい笑顔を長く保てるようサポートいたします。

経歴
  • 東京歯科大学卒業
  • 慶應義塾大学病院医学部歯科口腔外科学教室 助教
  • 医療法人財団順和会 山王病院 歯科口腔外科インプラントセンター(非常勤)
所属・その他
  • 日本歯周病学会 歯周病専門医
  • 日本臨床歯周病学会
  • 日本口腔インプラント学会 専修医

Symptoms

歯周形成外科で改善が
期待できる症状

下記のようなケースは歯周形成外科で改善が期待できます

  • 歯周病によって歯茎が下がってしまった
  • 歯茎が下がって冷たいものがしみる
  • 被せ物と歯茎の境目が目立ってきてしまった
  • インプラントを健康に保つための歯茎が足りないと言われた
  • 加齢によって歯茎が下がって歯が長く見えてしまっている
  • 矯正治療を行ったが 歯茎が下がってしまって気になる
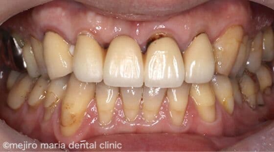
症例】結合組織移植術(CTG)により機能および見た目を改善

歯周形成外科では、このようなブラッシングがしにくい歯ぐきの状態を改善し、歯周病のリスクを軽減させることができます。また、歯ぐきのボリュームや形を理想的な形態に整えることで、磨きやすさなどの機能だけではなく、審美的な回復も期待できます。

Cause

歯肉退縮(歯茎下がり)の原因 

歯茎下がりの最も多い原因は歯周病です。歯周病は歯ぐきの炎症により引き起こされ、症状が進行すると、歯茎は痩せていき、歯が長くなったように見えます。 その他、下記のような原因で歯茎が下がってしまうことがあります。

  • 食いしばりや歯ぎしりをしてしまう習癖も歯茎下がりの原因になります。
    歯周組織に過剰な力が加わることで歯茎の炎症を引き起こすためです。歯科医院でマウスピースを作ってもらうなど、早めに対策をすることをお勧めします。
  • 詰め物や被せ物が合っていない場合も、歯茎が下がる原因になります。
    直接補綴物が歯茎にあたることや、高すぎる場合にはその部分に過度な力がかかるため、歯周組織にダメージを与え、歯茎が下がる原因となります。
    定期的に歯科医院を受診し、噛み合わせの確認・調整をすることをお勧めします。
  • ブラッシング圧が強すぎると歯ぐきが傷つき、その結果歯茎が下がることがあります。
    硬い歯ブラシの使用を避け、適切な力で歯磨きをするようにしてください。適切なブラッシングの圧は200gと言われ、ご自身でスケーラー等で計ると意外と軽い力だということが分かります。
  • 歯並び、噛み合わせが悪い場合、日々のブラッシングの難易度が上がることで、磨きの残しや歯石が着きやすくなることで、歯肉に炎症がおき歯周病のリスクが高まります。早い段階で歯周病になる前に、矯正治療を行い、歯周病のリスクを低減させていくことをお勧めします。歯科医師とご相談の上、必要に応じて矯正治療もご検討ください。
  • 小帯とは、頬や唇の内側の粘膜と歯茎の間をつなぐすじのことです。小帯の位置異常により頬や唇側に歯茎が強く、引っ張られることで、歯茎が下がってしまうことがあります。このような場合には歯周形成外科にて小帯切除を検討いただくこともあります。
    小帯切除の症例
  • 矯正治療で歯茎が下がる場合があります。過剰な力が歯ぐきに加わると歯肉退縮を引き起こす要因となります。
    また、日本人の成人では歯茎や骨が薄い人が多く、矯正治療で歯茎が下がりやすいと考えられます。
    矯正治療の症例
  • タバコの煙に含まれる一酸化炭素やニコチンは歯ぐきの血流を悪くし、歯ぐきは慢性的な栄養不足・酸素不足の状態になります。歯周病リスクが高まることはもちろんた歯茎が委縮することから歯肉退縮が促進されます。タバコは百害あって一利なしです。ご自身の健康のために禁煙しましょう。
  • 加齢によって歯茎もその他の組織同様に退化し、萎縮することで歯茎が下がってきます。口腔内を健康に保つことで歯肉退縮の進行を遅らせることが可能です。
  • 歯茎や歯槽骨の厚さによって歯肉退縮のリスクが異なります。歯茎や骨が薄い場合にはリスクは高くなります。日本人は生まれつき歯の周りの骨や歯茎が薄い方が多い傾向にあるため、歯周病のリスクがたかい人種であると言えます。日ごろからの歯周病のケアが大切になります。

Cause

抜歯後に歯茎が下がる原因

歯は歯槽骨(しそうこつ)と呼ばれる骨で支えられています。抜歯後、残された歯槽骨は少しずつ溶けていきます(骨吸収と呼びます)。人の身体は使わないと衰える性質があり、歯槽骨も歯が無くなったために力がかからなくなることで、衰えていきます。抜歯後そのまま放置しておくと、骨は時間とともに少なくなっていきます。

歯が無くなったところに、ブリッジ治療やインプラント治療などを検討する際、より長く健康な状態で使っていただくためには、しっかりとした歯茎と骨が必要になります。

当院では、下記の治療に対応しています。

抜歯

  • 抜歯後の骨の吸収を予防するための処置(抜歯窩保存術)
  • 抜歯後に骨が無くなった箇所に、骨を増やす手術 骨誘導再生治療(GBR)
  • 抜歯後に歯茎がやせてしまったところに歯茎を移植する(歯槽堤増大術)

Case

症例紹介

歯肉の移植で歯ぐきのボリュームを回復

歯槽堤増大術(FGG、CTG)

歯を抜いた後の歯茎は必ず凹んでしまいます。そこにブリッジ治療やインプラント治療を行なったとしても美しい形態に仕上がらなかったり、歯茎との段差の清掃ができなかったりします。
歯槽堤増大術とは、歯茎の移植術を用い、生理的な歯茎のボリュームを回復する手術です。

症例紹介

結合組織移植術(CTG)により機能および見た目を改善

抜歯後に生じた歯肉の陥凹は、見た目の不調和や清掃性の低下を招くことがあります。本症例では、ブリッジ治療に先立ち、結合組織移植術(CTG)を行い、失われた歯肉のボリュームと自然なラインを回復しました。歯肉の形態を整えることで、審美性と機能性の両面から調和のとれた補綴治療を実現しています。

before
after
治療内容 結合組織移植術(CTG)
治療期間 6ヶ月(外科処置から最終補綴物が入るまで)
治療回数 1回(他、抜糸、経過観察等を除く)
治療費用 165,000円〜(税込)

症例から言えること

審美的で長期的に安定した補綴治療には、生理的な歯肉形態の回復が欠かせません。CTGにより歯肉の厚みを再建することで、ポンティック周囲の清掃性が向上し、自然な見た目も得られます。歯肉の凹みやブリッジの見た目にお悩みの方には、こうした歯周形成外科的アプローチが有効です。
主な副作用・リスク
  • 結合組織移植術により、出血、腫脹、疼痛が生じる事があります。
  • 移植した歯肉が感染を起こしたり、血流が十分でない場合は正着不全を起こしたりする場合があります。
  • ブリッジの支台歯への負担が増え、う蝕や歯根破折のリスクが高まる場合があります。
  • ブリッジ部分の清掃性が不良な形態となると、歯肉の炎症や歯周病が進行しやすくなることがあります。
  • 歯肉形態や欠損部の状態によっては、審美性・適合性に影響し、ブリッジの再製作が必要となることがあります。

歯肉を移植し強い歯ぐきを作る

遊離歯肉移植術(FGG)

被せ物治療を行なう歯やインプラントの周りに角化歯肉というしっかりした歯茎がないと、適切なブラッシングができず長持ちしなくなってしまいます。
歯肉移植術とは、上顎の歯茎を移植することにより角化歯肉を作り出し、被せ物やインプラトがより良い状態で維持できるようにする手術です。

症例紹介

インプラントを守るための歯茎の移植(FGG)

インプラント周囲の歯茎が薄く、付着歯肉が不足していると、ブラッシング時に歯茎が動いて汚れが残りやすくなり、インプラント周囲炎のリスクが高まります。本症例では、遊離歯肉移植術(FGG)を行い、硬く安定した付着歯肉を再建しました。強い歯茎を得ることで、清掃性を高め、長期的にインプラントを健康に保つことを目指した症例です。

before
after
治療内容 遊離歯肉移植術(FGG)
治療期間 3ヶ月(移植した歯茎が落ち着くまで)
治療回数 1回(他、抜糸や経過観察を除く)
治療費用 137,500円(税込)

症例から言えること

インプラントを長く維持するためには、人工歯そのものよりも、周囲の歯肉環境が重要です。FGGにより付着歯肉を十分に確保することで、外的刺激に強く、清掃性に優れた環境を整えることができます。インプラント周囲の歯茎が薄い、磨きにくいと感じる方には、歯周形成外科的アプローチが有効な治療となります。
主な副作用・リスク
  • 手術に伴う合併症として、出血、腫れ、痛みが生じる可能性があります。
  • 移植した歯肉に適切に血流が回復しなかったり、細菌感染を起こしたりすると生着不全が生じることがあります。
  • 下歯槽神経麻痺を起こす可能性があります。
  • 一度で付着歯肉が十分に得られなかった場合には再度手術が必要になる場合があります。

抜歯後の歯茎の凹みを予防

抜歯窩保存術

従来の抜歯の方法ですと、歯を抜いた後の歯茎は必ず凹んでしまいます。
抜歯窩保存術とは、それを防ぐために歯を抜くと同時に抜歯窩(歯を抜いた穴)に骨補填剤や人工膜を適用する手術です。 

症例紹介

抜歯後の歯茎の凹みを低侵襲で予防し、接着性ブリッジを用いてインプラントを回避_歯槽堤保存術

抜歯後は、骨や歯茎が吸収して凹みが生じます。このような症例では、抜歯と同時に歯槽堤保存術(ARP)を行うことで、骨と歯肉のボリュームをできる限り維持することができます。さらに、周囲の歯をほとんど削らずに行える接着性ブリッジを採用し、低侵襲で自然な見た目と機能を両立しました。

before
after
治療内容 歯槽堤保存術
治療期間 3ヶ月~
治療回数 1回(他、抜糸や経過観察等を除く)
治療費用 110,000円(税込)~

症例から言えること

抜歯後の歯肉の陥凹は審美性や清掃性を損なう要因となります。歯槽堤保存術を併用することで、将来の補綴治療を有利にし、より自然な歯ぐきの形態を保つことが可能です。インプラントを避けたい方や、できるだけ侵襲を抑えて美しく治したい方には、ARPと接着性ブリッジの組み合わせが有効な選択肢となります。
主な副作用・リスク
  • 抜歯前の診断によっては歯槽堤保存術の適応にならないことがあります。
  • どの程度組織のボリュームが維持されるかは個人差があります。
  • 接着性ブリッジは適応できるケースが限られます。
  • 強い力が加わると外れるリスクがあります。

Case

歯周形成外科の適応を
推奨しない場合について

なお、歯周形成外科を必要とする状態であっても、患者様の年齢や歯の周囲の骨の状態、全身疾患の状態によっては外科手術によるリスクを考慮して治療を推奨しない場合もあります。

  • 重度な糖尿病や高血圧などの全身疾患がある方
  • 喫煙をされる方
  • 手術前に行うべき基本的な歯周治療を受けていない方
  • 日々のブラッシングやセルフケアを適切に行えない方
  • その他何らかの理由で手術の有益性よりリスクが上回ると判断された方