Root Canal Treatment

精密根管治療 専門外来

院長 宮澤 仁の写真
院長 宮澤 仁
目白マリア歯科 歯内療法/根管治療・歯内療法外科 担当医

根管治療は歯を残すための治療で、根管治療が必要になる歯の多くは、虫歯が進行して歯髄に達しているひどい虫歯です。虫歯になってしまったら、そのままにしていても良くなることはありません。

根管治療は歯内療法と言われるもので、一般的によく言われる「歯の神経を取る治療」だけでなく、病状によって「神経を残す治療」「感染した根管の細菌を除去する治療」「外科的歯内療法」といった歯を残すために探求された様々な治療方法があります。

根管治療には、世界基準の治療方針(コンセプト)を守った無菌的な処置が必要ですが、日本で完璧に診査・診断・施術を学んでいる歯科医師は少ないのが現状です。

もしあなたが、ひどい虫歯をそのままにしていたり、何度も根管治療を繰り返していたりする場合、是非最後までこの東京 目白マリア歯科の精密根管治療のページを読んでいただき、ご自身の歯を残すための治療を始めていただければと思います。

目白マリア歯科では、
高い成功率を誇る
精密根管治療が可能
です

院長の宮澤が当院開院からの5年間で、根管治療をした総数1,880本について
(治療中に確認された歯根破歯牙を除く)

目白マリア歯科の精密根管治療の成功率 99.5%

過去5年間の目白マリア歯科の
精密根管治療成功率は99.5%

(2019年6月~2024年11月末 当院調べ)

抜髄415本
(統計的に専門医の成功率は90%~95%)
再根管治療1,465本
(統計的に専門医の成功率は40%~80%)

目白マリア歯科の根管治療全体の成功率は94.1%


歯内療法外科110本
※当院で根管治療後に外科手術に移行した本数
(専門医による歯内療法外科の成功率は90%)

歯内療法外科の成功率は 92.7%

根管治療の成功率にいて
一般的な根管治療の現状と専門的な歯科医師の行う根管治療治療の成功率には大きな差があります。コンセプトに沿った治療を行うかどうかで、治療の成功率にひらきが生じます。
東京 目白マリア歯科では、東京近郊のみならず日本各地より難症例の患者様が来院されます。当院ではコンセプトを完璧に遵守することによって高い成功率を維持しています。

Chapter 1

根管治療は
「歯の神経」の治療です

歯の神経は、歯の構造上エナメル質、象牙質に保護される形で無菌な状態で存在します。歯髄神経には脳に強い痛みを伝える神経(C繊維)のみで構成されています。そのため、知覚過敏で生じる痛みも、虫歯の時に生じる痛みも同じ神経によるはたらきのものです。歯の神経に細菌が感染することで歯髄の炎症が不可逆的に進行し、持続的な痛みが長い期間(2日~2週間以上)続きます。これが一般的な虫歯の時の痛みです。その痛みから解放するために行う処置が根管治療です。
根管治療とは歯内療法の中の一つであり、歯内療法には、神経を残すための歯髄保存療法や、感染した歯髄を除去するための根管治療、根管治療が予後不良の時に行う再根管治療、歯内療法外科(歯根端切除術)があります。
このページでは、歯内療法(根管治療)に関して調べておられる皆様に、少し難しい内容にはなりますが、しっかりとした精密根管治療を選択していただくために、根管治療の原理原則を記載しています。

根管治療が必要になるひどい虫歯について

虫歯の進行
※根管内に細菌に感染し細菌が増殖すると歯の根のまわりの組織にまで病巣が広がり根尖性歯周炎という新たな病気を引き起こします
(さらに、C4は歯冠部が無くなり歯の根だけ残った状態になり、歯質過少により抜歯になる可能性が高い歯です)

C0~C1の虫歯は、お口の中がよくケアされている場合は経過観察を行うことも多いです。
できるだけ削らないことで歯の寿命を延ばすことにつながるためです。
C1~C2の虫歯はしみたり痛みがあったり不快な症状を伴うこともあり、治療をして詰め物、被せ物で修復を行います。
詳しくはコラム「虫歯治療のステージと治療法」もご参照ください。
C3以降のひどい虫歯(深い虫歯)の多くは根管治療が必要です。

根管治療と根管治療の
治療法について

歯の根っこ(根管)に関わる治療を、根管治療(歯内療法)と呼びます。歯を残すために探求された治療方法で、

といった治療法があります。下記の図とそれぞれの治療方法の説明や症例についてもご参照ください。

  1. Treatment 1

    生活歯髄保存療法(歯髄保存療法)〜神経を残す治療(回復可能な歯髄炎の場合)〜

    歯髄の細菌感染が少ない初期の不可逆性歯髄炎に対して、炎症がある部分のみ除去して健康な歯髄は保存する治療法です。歯髄を残すため、失敗した場合は歯髄炎の症状が悪化する可能性があり、正確な診断力と技術が必要です。

    副作用・リスク
    • 治療計画は口腔内、歯牙の状況により変更させていただく場合があります。
    • 生活歯髄療法は、以後の根管治療を複雑化させる可能性があります。
    • 生活歯髄療法が予後不良の場合は、強い痛みが生じる場合があります。
  2. Treatment 2

    根管治療(抜髄)
    〜神経をとる治療〜

    初めて歯の神経(歯髄)を取り除く処置です。歯髄炎の症状は抜髄処置を施すことで改善されます。また、根管内の細菌感染が再根管治療よりはまだ少ないので、治療の成功率が高い時期でもあります。根尖性歯周炎の罹患を最小限にすると同時に再根管治療を不要にすることで将来的に歯を最大限保存することにつながるため、再根管治療に比べると精密根管治療の費用対効果が高くなります。

    副作用・リスク
    • 治療後歯髄炎が進行し痛みを伴う場合根管治療が必要になる可能性があります。
    • 将来的に再度歯髄炎に罹患した場合、根管治療が難しくなる場合があります。
    • 術後の経過観察で歯髄に生活反応が見られない場合は根管治療を行う必要があります。
  3. Treatment 3

    再根管治療〜感染した歯髄や腐敗物、細菌を取り除く治療〜

    再根管治療とは、過去に行った根管治療のやり直しを行う処置です。根尖性歯周炎の原因は根管内に潜む細菌感染ですので、根管内の細菌数を無菌的環境下で減少させ、密に封鎖することで予知性を高めることが可能です。

    副作用・リスク
    • 根管治療終了後には術後性疼痛がある場合があります。
    • 根管治療が予後不良の場合は歯根端切除術を行う必要があります。
  4. Treatment 4

    歯根端切除術〜根管治療を行っても良くならない場合の外科的歯内療法〜

    精密根管治療を施しても治癒に至らない場合、もしくは、被せ物を外すことが困難な場合(装着して間もない被せ物など)は歯根端切除術にて根尖性歯周炎を治癒に導くことが可能です。現代の歯根端切除術の成功率は90%以上で、破折していない歯であれば保存することが可能です。しかし、外科処置なのでリスクも当然あります。当院では精密根管治療初回カウンセリングにてご自身の歯の状態や診断から精密根管治療(歯内療法)後のリスクをお話した上で、治療介入を行うか患者様に決めていただいております。

    副作用・リスク
    • 治療後歯髄炎が進行し痛み下歯槽神経を損傷した場合、顔面に知覚麻痺が生じる場合があります。を伴う場合根管治療が必要になる可能性があります。
    • 術中に予期せぬ歯根破折が確認された場合、処置は中止させていただくことがあります。

根管治療が必要?
歯髄炎セルフチェック

皆さんの歯は健康ですか?気になる症状はありませんか?こちらのチャートでご自身の歯について歯髄炎や根尖性歯周炎の疑いがあるか、根管治療が必要な可能性がある場合にはどんな治療方法があるのかチェックしてみましょう。2~5つのチェック項目で分類できます。

セルフチェック
以前に根管治療を行ったことがある

セルフチェックの結果説明

正常歯髄
正常根尖歯周組織
根管治療の必要はないと考えられます。歯髄、または根尖歯周組織の状態は正常だと考えられます。 (冷たいものなどに対して、一時的に痛みをおぼえることがありますが、2~3秒で痛みが無くなる状態です) 知覚過敏や初期の虫歯の可能性もありますので、定期的に検診を受けることをおすすめします。
また、正常根尖歯周組織と判断されても、根尖性歯周炎に知らないうちに罹患している場合があります。根管治療をしたことがある歯に関しては、定期的なレントゲンの検診を行いましょう。
可逆性歯髄炎
可逆性歯髄炎の可能性があります。
歯の神経に虫歯が達し、細菌感染を起こしている状態ですが、単純な虫歯の処置、もしくは生活歯髄保存療法歯髄(歯の神経)が残せる可能性があります。
可逆性歯髄炎に対する精密根管治療(生活歯髄保存療法)の症例はこちら
不可逆性歯髄炎
不可逆性歯髄炎の可能性があり、神経だけでなく、根尖周囲組織にも炎症が波及(根尖性歯周炎)している場合があります。
歯の神経に虫歯が達し、根管内が細菌感染を起こしている状態です。
生活歯髄保存療法で神経を残す治療を試みる場合もありますが、成功率は可逆性の歯髄炎に比べると低くなります。
初回の根管治療である 抜髄(歯の神経をとる治療)が必要かは、精密な診査が必要になりますので、まずは検査・カウンセリングを受けましょう。
不可逆性歯髄炎に対する精密根管治療(抜髄)の症例はこちら
歯髄壊死
歯髄壊死を起こしている可能性があり、根尖性歯周炎に及んでいる可能性もあります。
歯髄が壊死すると根管内全体が細菌で汚染されるため、根管治療の成功率は歯髄炎の抜髄処置より低くなります。しかし、歯根端切除術(外科的歯内療法)を併用して行うことでほとんどの場合治癒が可能です。
コンセプトに沿った精密根管治療を行い、再発を防ぐことが重要です。
歯髄壊死に対する精密根管治療(初回根管治療)の症例はこちら
根尖性歯周炎
以前の根管治療の際に見逃された根管や治療時の細菌感染により歯の内部で細菌が増殖し根尖性歯周炎を起こしているかもしれません。
根尖性歯周炎に対する精密根管治療(再根管治療)の症例はこちら
再根管治療(感染根管治療)および歯根端切除術(外科的歯内療法)の併用で治療を行います。
※繰り返し根管治療を行うことは、何度も歯を削ることで歯質が少なくなり、歯の強度が低下して抜歯のリスクをかえって高めることになります。また、無菌的な環境ではない場合は、治療のたびに細菌が入り込んで感染リスクが高まることが懸念されます。

※注意 結果はあくまで参考としてください。正確な診断は歯科医師による診査が必要です。

歯の激痛が自然に治まっている方は要注意

ひどく歯が痛んでいたけれど、自然に痛みが和らいでいて歯医者に行かずにそのままにしている場合は歯髄炎から歯髄壊死に症状が進行しているかもしれません。

病状の変化と痛みのイメージ図

虫歯が深くなり歯髄(歯の神経)にまで達している場合、最初は冷たいものが強くしみるなどの症状から、噛んだ時の違和感も覚え始めます。そして、歯髄炎から歯髄壊死に移行する時に痛みはピークを迎えます。この痛みは歯の神経(歯髄)が細菌に感染し細菌が増殖を繰り返すことで腐敗し血流がなくなって神経が死んでいくことによるものです。この時期は夜も眠れないくらいズキズキとした非常に強い痛みがおこります。歯髄壊死の状態になると歯の神経には生活反応が無くなるため痛みを感じなくなる事があります。先週はすごく歯が痛かったのに今は落ち着いているといった場合、歯髄壊死にまで進行している可能性もありますので、早めの受診をおすすめします。

Chapter 2

日本の歯科医院における根管治療成功率の現状
~繰り返される根管治療~

現在日本の歯科保険診療での根管治療は非常に成功率が低いというのが実情です。東京医科歯科大学の須田教授の文献によると、日本の保険医療制度で行った根管治療の成功率は約40%とされています。(参考文献:わが国における歯内療法の現状) 初回の根管治療の後、半数以上の人は、再び歯の不調を訴えて再根管治療(2回目の根管治療)を行うことになり、その多くの場合、さらに数年後には再発し、治療を繰り返すことで最終的に歯を抜かないといけない状態にまで陥ってしまいます。なぜ、日本の保険医療制度下での根管治療の成功率は低いのでしょうか。根尖性歯周炎は細菌感染症であるため、根管内に細菌が残っていることで菌が繁殖し再発してしまうリスクが高まってしまうのです。臨床の現場では細菌を目視することはできませんし、お口の中には常に膨大な数の細菌が存在しています。このような環境下で根管内の細菌数をできる限り減らすというセンシティブな配慮が求められるのが根管治療です。しかし、日本の健康保険で行われている根管治療(歯内療法)では、時間的な拘束や診療報酬の兼ね合いから十分な治療は行えず、無菌的な配慮が徹底されない環境で治療をしているケースがほとんどです。
無菌的な環境をつくるためには非常に時間を要しますし、もちろん歯科医師の経験や技術にも左右されます。患者様には世界基準の根管治療がどのようなコンセプトで行われているのかを知っていただき、ご自身の治療の選択肢を広げていただきたいと思います。

世界基準のコンセプトを守った
精密根管治療の成功率

初回根管治療 歯髄炎の場合
成功率:92 – 98 %

根管治療においては歯髄炎の初回治療(最初の根管治療)が最も成功率が高いと言われています。まだ歯の神経が部分的に生きている状態なので、根管内の細菌数は比較的少なく、細菌を新たに流入させずに治療することで予知性の高い治療が可能です。また、歯科用顕微鏡(マイクロスコープ)を使用することでより多くの歯を保存し 破折リスクを最小限に抑えることができます。

参考文献:Y-L Ng Int Endod J 2007

初回根管治療 歯髄壊死の場合
成功率:82 – 89 %

歯髄壊死になると根管内の細菌数が増えている為、成功率は歯髄炎の初回治療(最初の根管治療)よりも10%ほど下がると言われています。

参考文献:Y-L Ng Int Endod J 2007

再根管治療
成功率:40 – 80 %

再根管治療とは、一度歯科医院で初回の根管治療により神経を取った歯に対して再び根管治療を行うことです。再根管治療になると、成功率は40%~80%まで低下します。これは、感染の度合いや根の状態により変化するので、前の歯科医院でどのような治療を行ったかが重要になります。神経を取った歯が再び痛くなるということは、根の中で細菌が繁殖し、根尖のまわりの組織まで病気になっている可能性があります。この状態が根尖性歯周炎です。根尖性歯周炎になっている場合、細菌感染が根管内だけでなく、歯の外側の組織にも進行している場合があるので成功率は歯髄炎の初回治療(最初の根管治療)よりも20~40%ほど下がります。
また根管治療は少なからず歯の内部を削る処置を行っています。そのため、再根管治療を繰り返すことで歯は薄くなり物理的な歯の強度の低下につながります。一度削ってしまった歯は再生することができないため、治療を繰り返すことで歯根破折(歯の根が割れたりひびが入ったりすること。多くの場合抜歯が必要になります)のリスクが高まることになります。結果として再根管治療を繰り返すことは費用対効果を大きく下げることになってしまいます。

歯内療法(根管治療)の成功率は外科処置(歯根端切除術や最後方臼歯に関しては意図的再植術)を施すことで最終的に95%程になることがほとんどです。東京 目白マリア歯科では、再根管治療を繰り返すのではなく、外科的処置という選択をすることで抜歯せずに歯を残すことが可能です。

参考文献:Y-L Ng Int Endod J 2008
Outcome of secondary root canal treatment: a systematic review of the literature
Gorni F,Gagliani M(J Endod 2004)
The outcome of endodontic retreatme nt: a 2-yr follow-up.

目白マリア歯科では、
高い成功率を誇る
精密根管治療が可能
です

院長の宮澤が当院開院からの5年間で、根管治療をした総数1,880本について
(治療中に確認された歯根破歯牙を除く)

目白マリア歯科の精密根管治療の成功率 99.5%

過去5年間の目白マリア歯科の
精密根管治療成功率は99.5%

(2019年6月~2024年11月末 当院調べ)

抜髄415本
(統計的に専門医の成功率は90%~95%)
再根管治療1,465本
(統計的に専門医の成功率は40%~80%)

目白マリア歯科の根管治療全体の成功率は94.1%


歯内療法外科110本
※当院で根管治療後に外科手術に移行した本数
(専門医による歯内療法外科の成功率は90%)

歯内療法外科の成功率は 92.7%

Chapter 3

根の病気(根尖性歯周炎)ってなに?

根尖性歯周炎とは

根尖性歯周炎の根尖とは、歯の根の尖端の事を指します。根管内に感染した細菌が原因で根尖のまわりで炎症が起きて根尖に膿がつくられることで様々な歯の不調を引き起こします。これを、「根尖性歯周炎」と言い、根管治療の成功率を大きく下げる病気です。根尖性歯周炎は普段の生活では症状を自覚されないことも多くあります。そのため、痛みが消えたのでそのまま放置してしまい、ある日突然痛みや腫れを感じることも多くあるのです。また、症状が進行すると瘻孔(ろうこう)※右記の写真参照と言われる排膿路(膿の出口)ができることで、痛みを誘発しにくくなります。

瘻孔(ろうこう)
歯ぐきにポツリとできたおできの様なふくらみで根の先端(根尖)に溜まった膿の出口

根尖性歯周炎の原因とは?

根尖性歯周炎は歯根の中の細菌が引き起こす感染症です。「虫歯」や「歯周病」と同じように、根尖性歯周炎もお口の中の細菌が原因で引き起こされる病気です。歯の神経にまで達した虫歯をそのまま放置した場合や、虫歯の治療を途中でやめた場合、また、歯科医院で行う根管治療で唾液に触れた器具により根管内が細菌感染することで引き起こされる場合があります。細菌は根管内で増殖を繰り返し、根尖のまわりの組織まで炎症を起こし、根尖性歯周炎を形成します。
虫歯の治療や根管治療を行っても、根管内に細菌を取り残せば将来的に根尖性歯周炎になる可能性は高くなります。また、細菌感染のリスクが高い不適切な歯科治療は避けるべきです。

参考文献:Kakehashiらによる1965年の歴史的論文Oral Surg Oral Med Oral Pathol. 1965より

Chapter 4

世界基準の治療方針(コンセプト)を守った無菌的な処置
(東京・目白マリア歯科の精密根管治療)

  1. 1診査診断

    治療前の初回カウンセリングで診査診断を行います。問診や視診、レントゲン検査などの診査を行い、診断を行います。根管治療が必要と思われる症状でも、上顎洞炎や非歯原性歯痛と言われる歯が原因ではない痛みや症状の場合もあるため、全ての診査、診断は慎重かつ確実に行う必要があります。患者様が訴えている症状の歯の痛みや不調がどの歯牙の根尖性歯周炎、または歯髄炎であるかを確実に断定することが重要です。当たり前のようなことですが、トラブルのケースでは誤診がもとで症状が改善されないことも多くあるからです。東京 目白マリア歯科では、しっかりと診査診断を行い、病変があるかを確実に特定してから治療に移ります。

  2. 2治療(虫歯の除去)

    根管治療の前に、虫歯が見つかった場合には虫歯をすべて除去し、場合によっては唾液が入らないように隔壁と言われる壁を作ります。冒頭で根尖性歯周炎のきっかけは、虫歯の治療から始まるとお伝えしました。虫歯の除去は歯科治療の基本ですが、根管治療を行う際にも例外ではありません。虫歯の取り残しがある場合は、口腔内からの細菌の漏洩の入口になるため顕微鏡下で試薬を使い、虫歯の箇所を染め出しながら注意深く虫歯を除去していきます。

  3. 3根管の治療

    根管治療の際に感染を除去するためには、3つのコンセプトが最低限必要になります。

    1. 無菌的処置
    2. 洗浄
    3. 緊密な封鎖

    この3つのコンセプトが完璧に行われることでより予知性の高い治療につながっていきます。

    • 1. 無菌的処置

      新たな細菌感染を根管内に流入させずに、根管内の細菌を除去していく必要があります。そのためには、ラバーダムと言われる装置を歯に装着します。(コラム「ラバーダム防湿の器具と有用性」もご参照ください)この装置を術中装着することで口腔内の唾液を術野に侵入させることを防ぎます。ラバーダムを装着後は高濃度の過酸化水素、ヨードにて歯牙とラバーダムを完全に消毒してから根管治療に移ります。

    • 2. 洗浄

      洗浄には2つあり、機械的洗浄と化学的洗浄が必要になります。
      簡単に言うと、機械的洗浄とは削って綺麗にするもの、化学的洗浄は薬剤を使った洗浄です。
      機械的洗浄とは、器具(ファイルや超音波チップ)を用いて物理的に感染源を除去する方法です。根管内は非常に複雑な形態をしているため、機械的洗浄だけでは感染を除去するのに不十分とされています。
      また、歯を削れば細菌数は減少しますが、歯は削った量に比例して弱くなります。歯科用顕微鏡(マイクロスコープ)を使って必要最低限の量の歯を削り、効率的に細菌数を減少させます。そして、洗浄液(次亜塩素酸と無機的溶解剤(EDTA))を使いさらに細菌数を減らす化学的洗浄を併用します。

      機械的洗浄
      Ni-チタンファイル ファイルとは根管内の感染物や感染した歯質を除去する治療器具の事です。
      ニッケルチタンファイルは非常にしなやかな性質をもちます。従来のファイルでは治療に多くの時間を費やしていましたが、ニッケルチタンファイルを用いることで根管治療に要する時間を大幅に短縮できます。ニッケルチタンファイルの素材はしなやかなため、根管内を正確に追従できます。
      無駄な歯質を切削することがなく、感染した歯質や感染物を均一に取り除くことができます。
      化学的洗浄(根管洗浄)
      Ni-2.5%次亜塩素酸ナトリウム 次亜塩素酸ナトリウム(NaOCl)とは、根管洗浄薬の一種です。
      次亜塩素酸ナトリウムには強い有機溶解作用と消毒作用があり、根管洗浄剤として日本のみならず海外の歯内療法(根管治療)専門医の間でも主流となっています。
      根管治療に使用される次亜塩素酸ナトリウムの濃度は2.5%~8%が一般的です。
      次亜塩素酸ナトリウムは軟組織溶解能を示し、歯髄や細菌を除去するには非常に有効な薬剤ではありますが、同時に細胞毒性も持つ薬剤なので、あまり高濃度で使用すると口腔粘膜や根尖の周辺組織に思わぬ損傷を与えてしまう可能性があります。
      当院では2.5%の次亜塩素酸ナトリウムを使用し、洗浄効果と生体へのバランスを考慮しています。
      17%EDTA 17%EDTAはスメア層の除去のために使用します。
      スメア層とは、感染した根管内を削除した際に破壊された象牙質の無機成分(ハイドロキシアパタイト)、有機成分(分断されたコラーゲン)、感染脱灰された罹患歯質、細菌などで構成される厚さ1-3μmの層のことです。スメア層の中にも細菌は介在している為、無菌的な空間を作る際に障壁となります。しっかりと根管洗浄で取り除くことが必要になります。
      超音波によるキャビテーション効果

      キャビテーションとは、液体の流れの中で圧力差によって短時間に泡の発生と消滅が起きる物理現象と定義されています。キャビテーション作用で形成された気泡が圧力の上昇でつぶれる際に、音響ストリーミングが発生します。根尖付近には、側枝と言われる血管の分岐や、構造が複雑で器具が接触できない領域が多く存在しています。そのような箇所では、このキャビテーション効果を用いることにより、根管を効率的に洗浄することが可能になります。

      参考文献: Role of the confinement of a root canal on jet impingement during endodontic irrigation2012

      クロルヘキシジン

      クロルヘキシジンは広範囲の抗菌スペクトルを持ち、細菌細胞膜に結合して浸透性を変化させ、低濃度では静菌的、高濃度では殺菌的に作用します。
      根管内感染の再発に関与されやすいことで有名なE. faecalisや慢性炎症の原因菌A. israeliiなどの病原菌に対して有効とされています。また、sporestatic と呼ばれる芽胞増殖抑制作用があり、術後に象牙質に吸着することで持続的な抗菌作用を発揮する薬剤です。
      ※クロルヘキシジンを使用する場合には細心の注意が必要なため、術者の正しい知識が必要です。

      参考文献:Journal of Current Medical Research and Opinion、CMRO 03 (12), 770−774 (2020)Dr. Vishal Thakur

    • 3. 緊密な封鎖(根管充填)

      シングルコーンテクニック(Single cone Technique)

      従来の根管充填は主に、ガッタパーチャ(ゴムのような素材の充填剤)を溶かして根管内を充填するCWCT法が主流でした。
      ただガッタパーチャ(シーラー)は固まる際に収縮するという大きな欠点をもっているため、根管内に死腔(デッドスペース)が生じてしまうことがあります。死腔があるとそこから細菌が繁殖する可能性があります。
      この問題を解決したのがバイオセラミックシーラーです。
      バイオセラミックシーラーは固まる際に膨張するため、死腔が生じにくく、細菌の繁殖を抑えることができるので、治療の予後も良くなります。また、流動性が高いため、根管の細部までいきわたらせることが可能で、根管充填の際に、より緊密に封鎖することができます。このバイオセラミックシーラーを用いた根管充填法がシングルコーンテクニックです。

  4. 4経過観察

    東京 目白マリア歯科では
    3カ月、1年、2年の期間で経過観察を行います。

    根管治療の前に、虫歯が見つかった場合には虫歯をすべて除去し、場合によっては唾液が入らないように隔壁と言われる壁を作ります。冒頭で根尖性歯周炎のきっかけは、虫歯の治療から始まるとお伝えしました。虫歯の除去は歯科治療の基本ですが、根管治療を行う際にも例外ではありません。虫歯の取り残しがある場合は、口腔内からの細菌の漏洩の入口になるため顕微鏡下で試薬を使い、虫歯の箇所を染め出しながら注意深く虫歯を除去していきます。

    マイクロスコープの使用だけでは不十分

    マイクロスコープは、治療に用いることで肉眼では見逃してしまうような小さな根管や、微細な感染物を目視できるようになるので、根管治療には必須の機材と考えられています。ただマイクロスコープは「見る為のアイテム」であって、直接的に根管治療の成功率を上げるのは10%程度と言われています。またマイクロスコープは使用に慣れていないと意味がありません。ミラーテクニックが重要になりますので熟練した歯科医師が使用しないと事故を誘発する可能性もあります。実際、マイクロスコープが開発される前の根管治療の成功率よりも5~10%ほどしか向上していません。
    マイクロスコープを使用するだけで成功率が上がるのではなく、全ての無菌的な処置、治療のコンセプトを徹底して守る事で成功率を上げることができ、予知性の高い治療につながります。

Chapter 5

歯の解剖学的形態と外科的根管治療の必要性

引用:Root canal morphology and its relationship to endodontic procedures Frank J. Vertucci Endodontic Topics 2005
引用:cohen`s pathways of the pulp Expert Consult 

治療のコンセプトを徹底して守り、感染対策に配慮した治療を行っても、根管治療の成功率は70~80%、条件が悪いと40%にまで低下します。それは根管の解剖学的形態が要因と考えられます。歯の根尖側3mmには非常に複雑な形態に枝分かれした神経が発達しており、細菌を完全に除去するのは困難なのです。そのため、根管治療で治癒に至らなかった場合には外科的な治療を行う必要があります。もう一度根管治療をすればいいのでは?と思う方もおられるかもしれませんが、既にこのコンセプトのもとで根管治療を行った後に再び細菌が繁殖した場合は、どうしても洗浄できない部分があったと考えられます。その場合、根尖性歯周炎の原因を除去しきれないことから、何度精度の高い根管治療を行っても数年後、数カ月後には再発を繰り返すことが予想されます。また、根管治療では根管内の歯質を削ることになります。再治療を何回も繰り返すとそのたびに歯質を削るので歯の強度が落ち、逆に歯の寿命を大きく縮めてしまうことにつながります。

一度、精密根管治療を行ったのに治癒に至らない時は、外科的アプローチをすることで効率的に歯の寿命を縮めることなく治療が可能になります。根管内からアプローチして治療が上手くいかないときは、根管外(外科)からのアプローチによって感染源を除去するしか方法はありません。特に奥歯はその場所柄、外科治療が困難で、治療する歯科医師の技術と経験がなければ適切に処置することができないため、外科の症例を多く経験している歯科医院でないと根管治療(歯内療法)はマネージメントできないといえるでしょう。

Chapter 6

歯根端切除術(外科的歯内療法)

歯根端切除術とは口腔外科手術の一つで外科的歯内療法とも呼ばれています。細菌に感染した根管の先(根尖)を数ミリ切り取ることで感染源を取り除く治療です。もちろん麻酔をして行いますので、患者様が手術中に痛みを感じることはありません。術後の痛みは多くの場合痛み止めや消毒で対応できる程度の手術です。

参考文献※3

従来法

根管の先(根尖)を切り取った後に、そのままアマルガムという歯科治療用の金属を充填していました。しかし、アマルガムは歯(歯質)とくっつかない性質で封鎖性が悪い材料でした。
また、肉眼で根尖の切断を行っていたため、根尖を斜めに切断することから、骨の削除量や感染部の取り残しが多く、従来法での治療の成功率は20~60%とされています。

現在の方法

根管の先(根尖)を切り取った後に根尖を超音波で洗浄できるようになりました。超音波の洗浄機械の形が進化し、歯肉を切開して露出した根管にアクセスできるようになったためです。また充填剤にはMTAセメントというセメントを使用します。MTAセメントは固まる際に膨張するため、封鎖性が非常に高いのが特徴です。生体親和性が高いので、より緊密な封鎖が可能になりました。

左が従来法、右が現在の方法の歯根端切除術です。 根尖切断の際に角度をつけると、余分な骨を削り生体への侵襲は大きくなります。
また、従来法では根尖側からのアクセス(逆根管形成)もバー(Bur)を使用しており、根管内の細菌の除去が不十分だったことと、封鎖するための材料に厚みがとれなかったことから、失敗につながっていたと考えられます。

参考文献※3 Modern Endodontic Surgery Concepts and Practice A Review JOE July 2006 Syngcuk Kim, DDS, PhD,MD & Samuel Kratcbman, DMD

Chapter 7

東京 目白マリア歯科 精密根管治療の症例

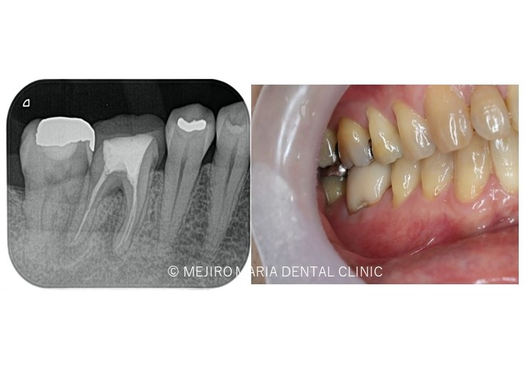
【初回根管治療(抜髄)神経をとる
治療】

初めて歯の神経(歯髄)を取り除く処置です。歯髄炎の症状は抜髄処置を施すことで改善されます。また、根管内の細菌感染が再根管治療よりはまだ少ないので、治療の成功率が高い時期でもあります。根尖性歯周炎の罹患を最小限にすると同時に再根管治療を不要にすることで将来的に歯を最大限保存することにつながるため、再根管治療に比べると精密根管治療の費用対効果が高くなります。

副作用・リスク
  • 治療後歯髄炎が進行し痛みを伴う場合根管治療が必要になる可能性があります
  • 将来的に再度歯髄炎に罹患した場合、根管治療が難しくなる場合があります
  • 術後の経過観察で歯髄に生活反応が見られない場合は根管治療を行う必要があります

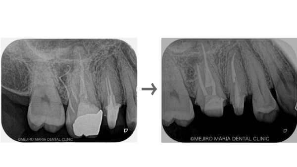
【再根管治療(感染根管治療)】
感染した歯髄や腐敗物、細菌を取り除く治療

再根管治療とは、過去に行った根管治療のやり直しを行う処置です。根尖性歯周炎の原因は根管内に潜む細菌感染ですので、根管内の細菌数を無菌的環境下で減少させ、密に封鎖することで予知性を高めることが可能です。

副作用・リスク
  • 根管治療終了後には術後性疼痛がある場合があります
  • 根管治療が予後不良の場合は歯根端切除術を行う必要があります

【歯根端切除術】
根管治療を行っても良くならない場合の外科的歯内療法

精密根管治療を施しても治癒に至らない場合、もしくは、被せ物を外すことが困難な場合(装着して間もない被せ物など)は歯根端切除術にて根尖性歯周炎を治癒に導くことが可能です。現代の歯根端切除術の成功率は90%以上で、破折していない歯であれば保存することが可能です。しかし、外科処置なのでリスクも当然あります。当院では精密根管治療初回カウンセリングにてご自身の歯の状態や診断から精密根管治療(歯内療法)後のリスクをお話した上で、治療介入を行うか患者様に決めていただいております。

副作用・リスク
  • 下歯槽神経を損傷した場合、顔面に知覚麻痺が生じる場合があります
  • 術中に予期せぬ歯根破折が確認された場合、処置は中止させていただくことがあります

【生活歯髄保存療法】
神経を残す治療
(回復可能な歯髄炎の場合)

歯髄の細菌感染が少ない初期の不可逆性歯髄炎に対して、炎症がある部分のみ除去して健康な歯髄は保存する治療法です。歯髄を残すため、失敗した場合は歯髄炎の症状が悪化する可能性があり、正確な診断力と技術が必要です。

副作用・リスク
  • 治療後歯髄炎が進行し痛みを伴う場合根管治療が必要になる可能性があります。
  • 将来的に再度歯髄炎に罹患した場合、根管治療が難しくなる場合があります。
  • 術後の経過観察で歯髄に生活反応が見られない場合は根管治療を行う必要があります。

Chapter 8

よくある質問

  • 精密根管治療は無菌的な処置の徹底、新品の器具の使用、熟練した機材の扱いなどに加え、時間も十分にとる必要があります。
    東京 目白マリア歯科の精密根管治療専門日には他の患者様のご予約や救急患者の受け入れを一切行なわず、米国の根管治療専門医と同じ環境を整えています。
    保険治療の場合、新品の器具や十分な機材を使用できず、1回の治療で長くお時間がとれないので治療に何か月もかかり、精度を保ち成功率を上げるためのコンセプトを守った治療を行うことが不可能です。
  • 通常、1本の根管治療は1回~2回の治療で完了します。3回目に土台(支台築造)を行うこともあります。治療回数を減らすことは、治療期間中(治療と治療の間の期間)に新たに細菌感染を起こす可能性を最小限にするためでもありますので、専門医は2回で治療を完了できるようにトレーニングされます。
    治療後、1カ月~3カ月後に最初の経過観察を行い、その後は1年に1回程度の経過観察を2年間させていただき予後を確認していきます。
    詳しくは、精密根管治療の流れをご参照ください
  • 前歯の治療は1本12.1万円~13.2万円(税込)になります。奥歯(大臼歯)は15.4万~17.6万です。その他に土台(支台築造処置)3.85万円(税込)の費用がかかります。隔壁や特殊薬剤(MTAなど)の別途料金は頂いておりません。
  • セカンドオピニオンだけでもカウンセリングは可能です。現在の根の状況、解決するための治療方法や治療のリスクなどをお伝えします。 精密根管治療カウンセリング1.1万円(税込)45分 
  • かかりつけ医の先生より紹介状を頂ければ、当院で精密根管治療だけを行うことも可能です。治療開始時までに紹介状をご持参いただければ、かかりつけ医の先生へ当院より治療報告書を治療毎に郵送致します。患者様にかかりつけ医の先生へ治療内容等の伝達をお願いすることはありません。

Chapter 9

東京・目白マリア歯科への
アクセス

東京 目白マリア歯科には、東京だけでなく、遠方からも多くの患者様が来院されます。
東京駅からも羽田空港からもアクセスしやすい場所にあります。

新幹線でお越しの方

乗車駅 ルート・乗り換え情報 降車駅 乗車時間
東京駅 山手線乗車 目白駅 約24分
山手線乗車 → 池袋駅で丸ノ内線に乗り換え 約27分
品川駅 山手線乗車 約26分
新宿駅 山手線乗車 約7分

飛行機でお越しの方

乗車駅 ルート・乗り換え情報 降車駅 乗車時間
羽田空港 京急空港線特快・京急本線快特乗 → 車品川駅で山手線に乗り換え 目白駅 約52分
東京モノレール乗車 → 浜松町駅で山手線に乗り換え 約60分
成田空港 京阪本線乗車 → 京成佐倉駅で京急本線快特に乗り換え日暮里駅で山手線に乗り換え 約1時間48分
徒歩空港第2ビルで京成本線乗車 → 日暮里駅で山手線に乗り換え 約1時間48分