Case

症例

【症例】被せ物の前に行う予防的な根管治療

目白マリア歯科|【症例】被せ物の前に行う予防的な根管治療|治療前後の比較画像

治療概要

治療内容 再根管治療
治療期間 2週間
治療回数 2回(他、術後3ヶ月後、1年後の経過観察等を除く)
費用 203,500円
リスク・副作用
  • 精密根管治療は全て自費治療になります。
  • 根管治療終了後には術後性の疼痛が出る場合があります。
  • 術中に予期せぬ歯根破折が確認された場合、処置を中止する場合があります。
  • 当院の補綴処置5年間の保証は3ヶ月〜6ヶ月の定期的なメインテナンス、定期検診に来院されていない場合は適応されません。
  • 根管治療に予後不良が確認された場合は、歯根端切除術を行う必要があります。

治療前の状態・主訴

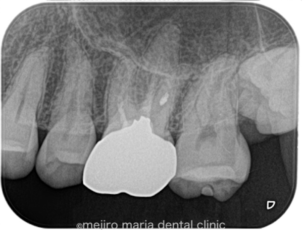
今回の患者様は口腔内の金属を除去し、全ての補綴物を非金属製のもの(ノンメタル)に変えることを希望された患者様です。被せ物の金属を除去する際に、以前に行われた根管治療のやり直しも予防的に行うことをお勧めし、精密根管治療を行うことになりました。

治療詳細

術前より根尖性歯周炎や症状がない症例に関しては90%以上の成功率となるため、ほぼ抜髄処置(初めて根管治療を行う場合)と同じくらいの成功率で治療を終了することができます。

治療後の様子

今後は通常と同じように2年間の経過観察を行い、治療の経過を確認していく予定です。

<既に施された根管治療の質を、再根管治療で高める>

以前に他院で行った保険治療をやり直し、当院で治療されることをご希望された患者様の症例です。金属のインレー、アンレーやアマルガムで最終補綴処置をされている箇所は全てセラミックとレジンにやり直しを行うことになりました。

左上6番(上顎左側第2大臼歯)は既に根管治療が施されており、根尖性歯周炎は根尖に確認されないものの、以前の治療の質は良い状態ではない(質が低い)ことが予想できます。根管治療の質を高める意味合いで再根管治療をご提案させていただきました。

【質の低い根管治療とは】
①以前の根の治療(根管治療)でラバーダムを使用しないで治療された場合
②根尖性歯周炎が確認される場合

残念ながら、日本でラバーダムを必ず使用している歯科医院は5.4%程度で、無菌的な配慮をして治療している歯科医院は非常に少ないのが現状です。

また、適合の悪い被せ物を除去した際には虫歯が確認されることも多く、根に細菌が侵入している可能性は否定できないのです。

「予防的根管治療」の詳細については、下記のブログをご参照ください。
被せ物の前に行う予防的な根管治療の意義:病気がなくても根管治療は行うべきか?意思決定の考え方|目白マリア歯科

下記の症例もご参照ください。
【症例】セラミック材料を使った修復処置・セラミック接着時の環境への配慮

目白マリア歯科では、今回の症例のように、必要に応じ予防的根管治療を行い、被せ物に関しては適合のよいセラミックの作成と接着時の環境への配慮をした治療を行っております。

また、当院では根管治療後2年間の経過観察によるフォローアップと、5年間の被せ物の保証でしっかりと予後経過を確認していきます。
根管治療についてお困りの方、気になることがある方は「精密根管治療初回カウンセリング」にお越しください。

院長 宮澤 仁

こちらもご参照ください。

精密根管治療 初回カウンセリング|目白マリア歯科
精密根管治療|目白マリア歯科
根管治療・歯内療法|目白マリア歯科|
再根管治療とは|目白マリア歯科

この記事を書いた人

院長 歯内療法/根管治療・歯内療法外科担当医
宮澤 仁 Miyazawa jin
宮澤 仁
専門分野
  • 根管治療(歯内療法)
所属
  • アメリカ歯内療法学会
  • 日本歯内療法学会

Similar Cases

その他の症例

  • 【症例】難症例・根の病気と歯周病が併発した症例2(世界基準の精密根管治療と最先端の歯周組織再生療法を用いて全ての問題を解決)

    【症例】難症例・根の病気と歯周病が併発した症例2(世界基準の精密根管治療と最先端の歯周組織再生療法を用いて全ての問題を解決)

  • 【症例】根管治療のトラブルケース:「破折ファイル」の対処法と考え方

    【症例】根管治療のトラブルケース:「破折ファイル」の対処法と考え方

  • 【症例】大きくなりすぎた根尖性歯周炎を2回の根管治療で治癒へ

    【症例】大きくなりすぎた根尖性歯周炎を2回の根管治療で治癒へ