治療概要
| 治療内容 | 抜髄(初回根管治療)|精密根管治療 |
|---|---|
| 治療期間 | 1週間 |
| 治療回数 | 2回 |
| 費用 | 132,000円(税込) ※処置当時の料金 |
| リスク・副作用 |
|
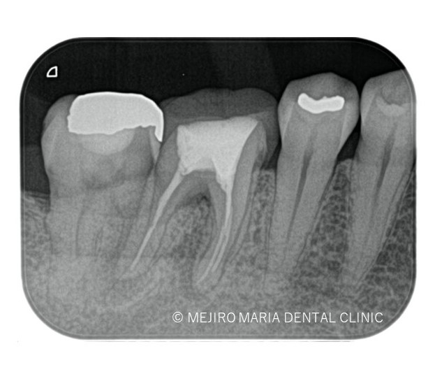
治療前の状態・主訴


※画像は術前レントゲン写真と口腔内写真
5年前に治療した歯に違和感を感じることを主訴に来院される。当該歯は1年前に大きく腫れた時を境に徐々に調子が悪くなっているとのこと。
右の口腔内写真赤矢印部分には限局的な歯周ポケット10mmを確認し、歯根破折の可能性を疑わせる。
治療詳細
治療はすべて歯科用顕微鏡下(マイクロスコープ)にて行い、前回の治療で充填されている材料をすべて除去した後に破折診査をおこなった。歯科用顕微鏡(マイクロスコープ)下でも遠心根に破折線は見つけられず、通法通り根管治療を終了した。
今回は水酸化カルシウムを貼薬した後、2回目の治療にて根管充填、支台築造処置を終了させている。
治療後の様子


根管治療終了後1ヶ月後に経過観察を行い、術前に確認されていた限局的な歯周ポケットは正常範囲の値まで回復したのを確認したため、最終補綴を行った。
3ヶ月後のレントゲン撮影にて根尖病変の縮小、ならび違和感の消失を確認。今後最低2年間の経過観察(1年に1回)を行い、根尖周囲組織の治癒を確認していく。
目白マリア歯科|歯根破折を疑わせる症例(治療チャレンジにより抜歯を回避)。歯根破折と誤診されやすい歯内歯周病変。抜歯せず精密根管治療で歯を残せる可能性があります。
今回は歯内歯周病変という、重篤な症状の治療経過を書かせていただきました。
_レントゲン画像術前術後の比較.jpg)
歯内歯周病変とは、歯の内側(根管内)のトラブルと歯の周囲組織のトラブルが併発することを言います。この場合、歯内療法と歯周病治療、両方からのアプローチを必要とする為、確実な診査、診断、そして治療が予後を左右します。
歯内歯周病変は限局的な歯周ポケットを併発するため、歯根破折と誤診されやすい病気です。当院の精密根管治療を希望し来院される多くの患者様が、他院にて「歯根破折」と診断されたが抜歯せず歯を残したいと望まれており、実際に精密根管治療を施すことで多くの歯が残せているのも事実です。
しかしながら、このような複雑な症例はチャレンジングの要素も多く含まれ、術前に期待できる予後、起こり得るすべての可能性を患者様にお伝えすることが重要だと当院では考えております。
「自分の歯をできるだけ残したい」「他院で抜歯と診断された」「何年も前に治療した歯がまた痛む」など、お困りの事、症状がありましたら当院にご相談ください。
目白マリア歯科ではこのような患者様のために「精密根管治療 初回カウンセリング」を行っています。診査、診断から専門家としての見解をしっかりお伝えし、患者様のお考えを尊重して最良の治療を進めてまいります。
診療メニュー根管治療
精密根管治療 初回カウンセリングについて
——
専門性の高い歯科医療が、すぐそばに。
目白マリア歯科(Mejiro Maria Dental Clinic)
〒161-0033 東京都新宿区下落合3-16-13 グランドール目白1F
tel:03-6908-2923
バリアフリー マイクロスコープ・歯科用CTなど先端医療機器完備 精密根管治療 怖くない、痛くない歯科治療 世界基準の滅菌レベル