治療概要
| 治療内容 | サイナスリフト、インプラント、矯正治療 |
|---|---|
| 治療期間 | 10ヶ月 |
| 治療回数 | 4回(他、抜糸、術後3ヶ月後、1年後の経過観察等を除く) |
| 費用 | 3,300,000円(税込、サイナスリフト他、矯正治療を含む) |
| リスク・副作用 |
|
治療前の状態・主訴


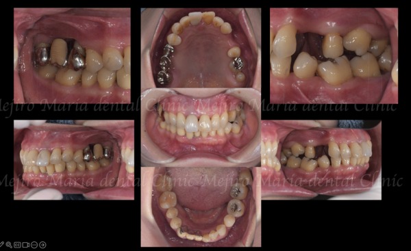
患者様は50代女性で、右上の歯肉の腫れと歯の動揺を主訴に来院されました。
正面からの見た目だけでは一見問題が無いように見えるものの、以前左側の複数の歯を抜歯したまま放置していたため、歯が前方に傾斜し、噛み合わせが大きく崩れていました。
長期間、噛み合わせの悪い左側を避けて右側だけで噛んでいたことにより、右上の歯周病が過度な力によって進行したものと考えられます。
この時点での問題点:
・右上の歯は保存できる状態ではない
・右上の咬合支持喪失により両側臼歯の機能が破綻している
・その結果、前歯へ過剰な負担が移行し、将来的に歯周病で多くの歯が喪失されることが予想される
治療詳細



今回のように、重度の歯周病を患ってから抜歯をおこなった場合、抜歯後の歯周組織の喪失が著しくなります。特に上顎は上顎洞が近接しているため、インプラント埋入の骨量が不足することが多々見受けられます(画像赤丸○部分)。
インプラントは骨との結合(オッセオインテグレーション)によってはじめて力に耐えるため、骨が薄い、または喪失してしまった部位では、予知性が低下します。
上顎の骨量不足に対してはGBR・ソケットリフトの他に、今回のように比較的広範囲に骨が必要な症例では、サイナスリフト(上顎洞挙上術)を行うことで、インプラントを支える新たな骨を確保することができます。(外科画像1)
サイナスリフトでは、側方から上顎洞粘膜を挙上し、できた空間に人工骨を填入することで3〜6ヶ月後にインプラント埋入可能な骨が形成されます(赤二重丸◎部分)。
治療後の様子


サイナスリフト後6ヶ月(抜歯から10ヶ月)で、インプラントを理想的な位置に安全に埋入できました。術後の上顎洞や歯肉にも炎症は認められません。
右上で噛む力を支えられるようになったことで前歯の負担が軽減し、同時に行っていた矯正治療により左側の噛み合わせも改善したことで、長期的に安定した咬合が期待できます。
※現在、左側の咬合の回復のための治療を継続しています(2025年12月現在)
噛み合わせの不調和は全体に影響が出るため、専門医連携による的確な治療が必要です
今回の症例では、長年、不調和な噛み合わせのままで生活していたことにより、過負荷がかかり、最終的に右上3本の歯牙(ブリッジ)を一気に喪失する結果となりました。抜歯後に該当部位を放置すること(何もしない選択肢)は、短期的には大きな影響がみられない場合もあります。しかし、時間の経過とともに歯牙が傾斜し、噛み合わせの不調和は徐々に進行していきます。下顎骨(顎の骨)と頭蓋骨(頭の骨)は二つの関節でつながっているため、片方の噛み合わせのズレが全体的な噛み合わせのズレにつながってしまいます。
今回のように、噛み合わせが崩壊、もしくは崩壊間近の症例では、術前の診査・診断と正確な技術力が重要になります。そのためにはフェイスボートランスファーを踏まえた診断と、適切な処置を行える環境、そして高い技術を持つ歯科医師が必要です。
目白マリア歯科では、担当医に加え、各分野の専門医が連携し、アドバイスや執刀を行うことで、患者様に的確な治療を提供しております。
他院でインプラントを断られた、歯をできるだけ残したいなどのご相談がある方は、是非一度、目白マリア歯科の初診・相談へお越しください。
こちらもご覧ください。