Case

症例

抜歯後の歯茎の凹みを低侵襲で予防し、接着性ブリッジを用いてインプラントを回避_歯槽堤保存術

治療概要

治療内容 歯槽堤保存術
治療期間 3ヶ月~
治療回数 1回(他、抜糸や経過観察等を除く)
費用 110,000円(税込)~
リスク・副作用
  • 抜歯前の診断によっては歯槽堤保存術の適応にならないことがあります。また、どの程度組織のボリュームが維持されるかは個人差があります。

治療前の状態・主訴

目白マリア歯科|歯周形成外科の症例|【症例】抜歯後の歯茎の凹みを低侵襲で予防し、接着性ブリッジを用いてインプラントを回避 歯槽堤保存術(Alveolar Ridge Preservation ; ARP) |治療前

左上の前歯が歯根破折により保存は難しいと判断された患者様です。抜歯に関しては納得されていましたが「なるべく小さい侵襲で、かつ見た目も綺麗にしてほしい」といご希望がありました。抜歯後の補綴治療として、ブリッジやインプラントなど複数の提案をしましたが、歯をたくさん削るブリッジにも、インプラントにも不安があるということでした。そこで極力侵襲を加えない接着ブリッジという治療法を選択し、なるべく美しい仕上がりになるように抜歯時に歯槽堤保存術を行う事にしました。

治療詳細

目白マリア歯科|歯周形成外科の症例|【症例】抜歯後の歯茎の凹みを低侵襲で予防し、接着性ブリッジを用いてインプラントを回避 歯槽堤保存術(Alveolar Ridge Preservation ; ARP) |切開後しょ

左側中切歯を抜歯し、抜いた穴の中を徹底的に綺麗にします。その後、骨の吸収を抑えるために人工骨を填入し、PTFEメンブレンという人工の膜でカバーし、縫合します。

丁寧で愛護的な抜歯と、適切な材料をチョイスすることで、術後の骨と歯茎のボリュームダウンを極力防ぐことができます。

目白マリア歯科|歯周形成外科の症例|【症例】抜歯後の歯茎の凹みを低侵襲で予防し、接着性ブリッジを用いてインプラントを回避 歯槽堤保存術(Alveolar Ridge Preservation ; ARP) |切開を加えシートで被せた
目白マリア歯科|歯周形成外科の症例|【症例】抜歯後の歯茎の凹みを低侵襲で予防し、接着性ブリッジを用いてインプラントを回避 歯槽堤保存術(Alveolar Ridge Preservation ; ARP) |凹み

治療後の様子

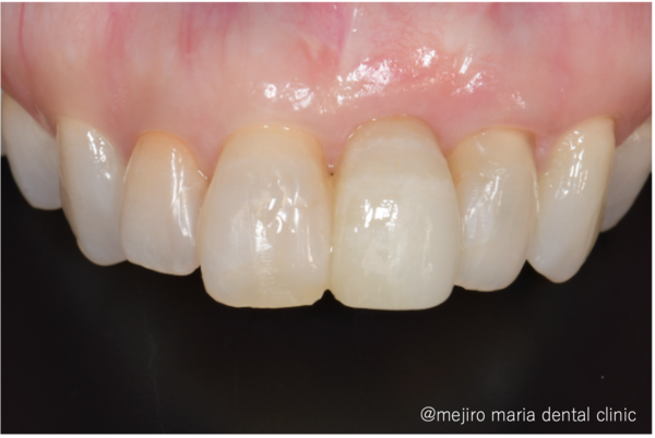
目白マリア歯科|歯周形成外科の症例|【症例】抜歯後の歯茎の凹みを低侵襲で予防し、接着性ブリッジを用いてインプラントを回避 歯槽堤保存術(Alveolar Ridge Preservation ; ARP) |治療詳細治療後
目白マリア歯科|歯周形成外科の症例|【症例】抜歯後の歯茎の凹みを低侵襲で予防し、接着性ブリッジを用いてインプラントを回避 歯槽堤保存術(Alveolar Ridge Preservation ; ARP) |ブリッジ

この症例では抜歯、歯槽堤保存術後4ヶ月ほど経ったところで補綴治療へと移行しました。

先述の「接着性ブリッジ」を選択しましたのでほとんど歯を削っていません。高い接着力を持つ材料を使い、隣の歯にセラミックの歯を貼り付けているのです。

歯槽堤保存術を行ったことでほとんど歯茎は凹むことなく、自然な見た目で治療を終えることができました。

<目白マリア歯科では、抜歯する前から将来的な治療計画を立案します>

歯科医院において日常的に行われている抜歯ですが、なんの工夫もなくただ「歯を抜くこと」を行った場合、抜歯した部分の骨と歯茎が必ず吸収し、大きくへこんでしまいます。

凹んでしまった歯茎の上に歯を補う被せ物を行うと(ブリッジであれインプラントであれ)、歯ぐきが凹んだぶん、美しい歯の形が作れなかったり、汚れが溜まりやすくブラッシングしにくい形態になったりします。

今回は抜歯をした後の組織の喪失を極力防ぐために歯槽堤保存術(Alveolar Ridge Preservation ; ARP)という術式を用いた症例を紹介しました。

歯槽堤保存術を行わなくても、後から歯ぐきを補う治療を行うことは可能ですが、失われた組織を回復させる処置は外科的な侵襲はより大きくなってしまいます。

目白マリア歯科では、抜歯する前から将来的な治療計画を立案し、ご提案することで治療を円滑に、低侵襲におこなうことが心がけております。1歯の抜歯から全顎的な治療まで、一度当院までご相談ください。

こちらもご参照ください。
歯周病治療|目白マリア歯科

この記事を書いた人

歯科医師 歯周病、歯肉形成、骨再生医療担当医
小沼 寛明 Konuma Hiroaki
小沼 寛明
専門分野
  • 歯周病
  • 歯肉形成
所属
  • 日本歯周病学会
  • 日本臨床歯周病学会

Similar Cases

その他の症例

  • 【症例】前歯の見た目を改善し自然なスマイルラインを獲得

    【症例】前歯の見た目を改善し自然なスマイルラインを獲得

  • 結合組織移植術(CTG)により機能および見た目を改善

    結合組織移植術(CTG)により機能および見た目を改善

  • 【症例】矯正治療による歯茎下がりを歯茎の移植で改善

    【症例】矯正治療による歯茎下がりを歯茎の移植で改善