治療概要
| 治療内容 | 結合組織移植術を併用した根面被覆術 |
|---|---|
| 治療期間 | 3ヶ月 |
| 治療回数 | 1回(他、抜糸、経過観察等を除く) |
| 費用 | 110,000円〜165,000円(税込) |
| リスク・副作用 |
|
治療前の状態・主訴

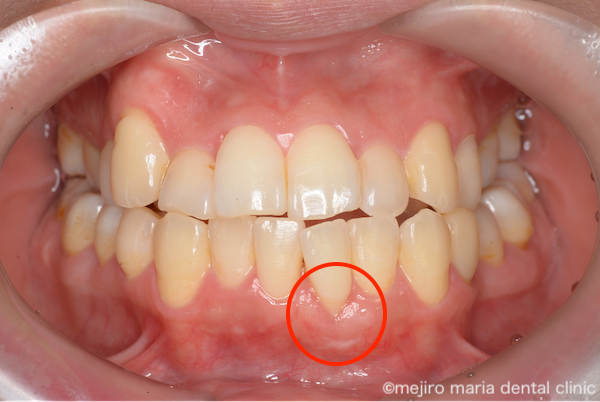
この患者様は他院で矯正治療を行い、治療終了後に歯茎が下がってしまったことで(画像赤丸部)、重度の審美的なトラブルと知覚過敏を主訴に来院されました。
治療詳細

当院の歯周病専門医により術前に細かい診査を行なった結果、矯正治療により歯根の位置が顎骨外にでてしまった事が歯茎下がりの原因と診断しました。
ご自身の現状の噛み合わせと今回治療する歯茎下がりの後戻りのリスクを軽減させるために、再度矯正治療を行うことを提案しましたが、患者様は望まれませんでした。
そのため、口蓋(上顎)の歯茎(結合組織)を採取し、下がった歯茎の部位に移植する「結合組織移植術」と、両側の歯茎を引き寄せるように縫合を行う「根面被覆術」を併用し、露出した歯根を被覆する治療のみを実施しました。
治療後の様子

術後経過3ヶ月後の状態です。術前に大きく歯茎下がりが確認できていた部位が改善しているのがわかります。患者様は術前にあった知覚過敏もなくなり、また審美的にも満足されています。今後は適切なブラッシングを継続していただくことで歯茎下りの再発を防いでいくことが必要です。
<歯茎下がりはご自身の歯茎の移植で改善が可能です>

今回の症例のように、歯茎下がりは矯正治療だけでなく、加齢変化、強すぎるブラッシングや外傷、歯周病によるものなど多くの原因で起こりえます。
歯茎下がりは、患者様の日々の生活で知覚過敏や審美的な障害が生じます。このような場合、口蓋の固い歯肉を移植することで、多くのケースが改善できる可能性があります。
歯周病専門医は、あらゆるテクニックを使って歯肉や骨を増やすことや、移植することが可能です。しかし、その症状の根本的な原因がどこにあるのか、どの手術を適応すべきなのか、正しく選択することが大切です。
今回は矯正治療により歯茎が下がってしまった患者様に対し、「結合組織移植術」を併用した「根面被覆術」で改善した症例をご紹介しました。
【結合組織移植術】
ご自身の口蓋の歯茎(結合組織)を採取し、下がった歯茎を覆うように歯茎の中に移植する治療法
【根面被覆術】
歯茎が下がってしまった部分について、両側の歯茎を引き寄せるように縫合を行うことで露出した歯根を被覆する方法
目白マリア歯科では、歯周病専門医による専門性の高い治療を行うことが可能です。
治療にあたっては、確実な診査・診断により患者様へ現状をお伝えするとともに、患者様ご自身のご希望を尊重した治療計画をご提案しています。
失われた歯茎は、自然に元に戻ることはありません。しかし様々な治療法で修復が可能です。歯茎について悩みがある方は、一度当院の専門医へご相談ください。
こちらもご参照ください。
歯周病治療|目白マリア歯科
【症例】インプラントを守るための歯茎の移植(FGG)||目白マリア歯科