治療概要
| 治療内容 | 再根管治療|精密根管治療 |
|---|---|
| 治療期間 | 2週間(精密根管治療開始後から) |
| 治療回数 | 2回(精密根管治療) |
| 費用 | 202,400円(税込 支台築造処置も含む) |
| リスク・副作用 |
|
治療前の状態・主訴


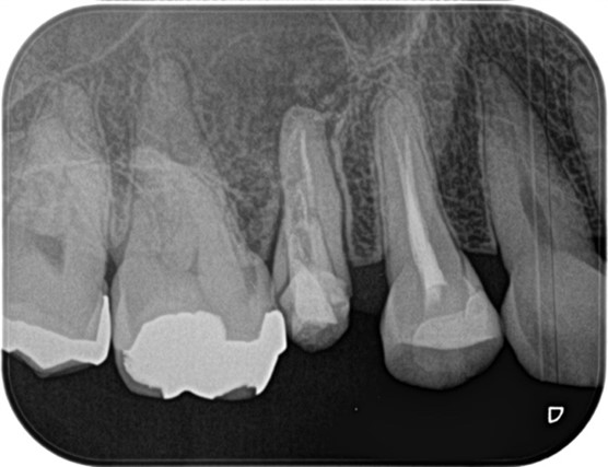
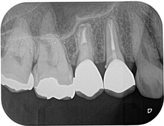
この患者様は、前医での根管治療がうまく行っていないことを主訴に当院の精密根管治療カウンセリングを受診されました。初診時の段階で歯肉の炎症が著しく、根尖部を指で押すと痛みを訴えておられました。診査したところ右上5番の根尖には黒い透過像(写真2黄色囲み線)が確認できるのと、歯質は大きく削られており(写真2赤線部)、残存する歯質は(写真2青線部)非常に薄くなっていることが確認できました。
初診の時点では破折等の所見は確認されなかったことら、治療は可能と判断しましたが、歯質が薄いことから将来的な費用対効果が低くなることも考えられました。
歯内療法(精密根管治療)での「費用対効果」とは主に根尖性歯周炎を治癒に導くことはもちろんのこと、この歯が将来的にどの程度「長持ち」するかを考慮することも非常に重要です。歯が薄いため、早い段階で歯根破折を生じた場合に今回発生した治療費はもしかしたら高いものになるかもしれません。その費用対効果は、人によって様々であり、しっかりとカウンセリングを行う必要があります。
本症例の患者様は「自分の歯牙を残したい」という強い意志を示されましたので、治療を開始することとしました。
治療詳細


精密根管治療を開始すると、前医で充填されたもしくは除去しれなかったと思われる残留物が確認でき、歯質も非常に菲薄なため慎重に除去作業を行いました。1回目の治療で全ての感染物を取り除き、2回目の治療時には歯肉の腫脹や疼痛など初診時に確認された症状は改善されました。
今回は、根尖が破壊されていたことから、最終的な根管内の充填にはM T A(バイオセラミックマテリアル)を使用し、通法通り根管治療を終了しました。
治療後の様子




精密根管治療終了後、3ヶ月間仮歯で症状の経過を確認し、予後良好と判断して最終補綴物へ移行しました。
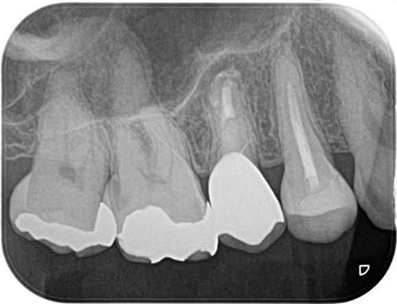
経過2年の段階で根尖に確認できた根尖性歯周炎は縮小し、予後良好の経緯を確認しています。
精密根管治療の費用対効果は、様々な側面から考える必要があります
今回のように、一見して費用対効果が悪いと思われる症例を治療する際は、充分なカウンセリングと患者様の理解が必要となります。
根尖性歯周炎に対して適切な処置を行うことができる知識と技術、機材があれば歯牙を保存し、根尖性歯周炎を治癒に導くことは可能です(歯根破折歯を除く)。
しかしながら、保存した歯牙の予知性(将来的な長持ち度)は根の治療(精密根管治療)の成功率とはまた違った角度から考察しなければいけません。患者様一人ひとりの歯の状況や口腔内環境(歯周病など)が将来的に歯が長持ちするかどうかを左右することは多く、それを無視して治療介入することはできません。
今回のように、治療開始前の状況で一見して予知性が悪い可能性が考えられても、術後良い経過を長期間保てることは多くあります。しかしその逆のパターン、例えば1年程度で破折してせっかく根管治療で保存した歯の抜歯が必要になる、という未来も術前にある程度考えなければいけないのです。
目白マリア歯科では、術前に精密根管治療初回カウンセリングを行い、患者様一人ひとりに時間をかけ丁寧に現状をご説明しております。患者様がご自身の治療について納得して選択でき、また安心して治療に臨める環境づくりに力を入れております。
併せてこちらもご覧ください。
精密根管治療 初回カウンセリング|目白マリア歯科
精密根管治療|目白マリア歯科
根管治療・歯内療法|目白マリア歯科|
再根管治療とは|目白マリア歯科