Case

症例

【症例】コンセプトを守った再根管治療(精密根管治療)

目白マリア歯科|ブログ|【症例】コンセプトを守った再根管治療(精密根管治療)|治療前後の比較画像

治療概要

治療内容 再根管治療|精密根管治療
治療期間 2回(経過観察は含まない)
治療回数 精密根管治療2回
費用 203,500円(税込)
※支台築造処置を含む
リスク・副作用
  • 治療計画は口腔内、歯牙の状況により変更する場合があります。
  • 根管治療終了後、予後不良が確認された場合は、歯根端切除術をできるだけすみやかに開始する必要があります。
  • 当院の補綴処置の保証は5年間ですが、3ヶ月〜6ヶ月の定期的なメインテナンス、定期検診に来院されていない場合は、適用されません。

治療前の状態・主訴

患者様は、「数年前に虫歯治療した歯の、根元が腫れた」という主訴で来院されました。かかりつけ医に相談したところ、痛くないのであれば様子を見るようにと指示されましたが、不安を抱いて当院へお越しになりました。

右上の歯を確認したとろ、当該部位にはフィステル(瘻孔)が確認でき、フィステルより造影してみると、右上6番の歯の根尖部付近から、排膿されていることがわかりました(写真の赤矢印)。フィステル以外に痛みなどの所見は見当たらないものの、「根尖性歯周炎」と診断し、治療を開始しました。

治療詳細

目白マリア歯科|ブログ|【症例】コンセプトを守った再根管治療(精密根管治療)|治療詳細1

右上6番の歯に確認できたフィステル(瘻孔)は、2回目の根管治療の際にはすでに消失していました。患者様のご希望により、すでに根管治療がされている手前側の歯(右上5番)も、根管治療をやり直すこととなりました。

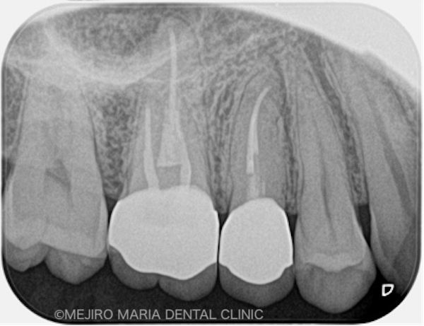
治療後の様子

赤丸は病変が消失したところ

術後3ヶ月の経過は良好だったため、最終補綴処置を完了し、その後1年間、経過を確認しました。その結果、右上6番の歯に確認できていた病変も消失し、現時点は予後良好と判断しています。

<根尖性歯周炎は、コンセプトに基づいた歯内療法で治癒が可能>

根尖性歯周炎は、根管内の細菌感染が原因であるため、外部からのレーザー照射や歯肉からの薬剤塗布、抗生物質の服用では、治癒に至ることはありません。
また、身体全体にとっては小さい炎症かもしれませんが、慢性炎症を身体にずっと残しておくことは、生物学的にはあまり良いことではないはずです。

根尖性歯周炎で病変ができることで、骨や、歯の根の吸収(※)が生じることは確かです。

※骨や、歯の根の吸収:炎症や菌の毒素によって、歯を支える歯槽骨や歯の根が溶けてしまうこと

根尖性歯周炎を放置していると、病変が広がって骨の吸収も大きくなると同時に、根尖が破壊されて根管治療の成功率が低くなると考えられています。

根尖性歯周炎は、コンセプトに基づいた歯内療法を施すことで、治癒に導くことが可能な疾患です。歯の根の治療でお悩みの方は、目白マリア歯科の「精密根管治療カウンセリング」にお越しください。

併せてこちらもご覧ください。

精密根管治療 初回カウンセリング|目白マリア歯科
精密根管治療|目白マリア歯科
根管治療・歯内療法|目白マリア歯科|
再根管治療とは|目白マリア歯科

この記事を書いた人

院長 歯内療法/根管治療・歯内療法外科担当医
宮澤 仁 Miyazawa jin
宮澤 仁
専門分野
  • 根管治療(歯内療法)
所属
  • アメリカ歯内療法学会
  • 日本歯内療法学会

Similar Cases

その他の症例

  • 【症例】難症例・根の病気と歯周病が併発した症例2(世界基準の精密根管治療と最先端の歯周組織再生療法を用いて全ての問題を解決)

    【症例】難症例・根の病気と歯周病が併発した症例2(世界基準の精密根管治療と最先端の歯周組織再生療法を用いて全ての問題を解決)

  • 【症例】被せ物の前に行う予防的な根管治療

    【症例】被せ物の前に行う予防的な根管治療

  • 【症例】根管治療のトラブルケース:「破折ファイル」の対処法と考え方

    【症例】根管治療のトラブルケース:「破折ファイル」の対処法と考え方